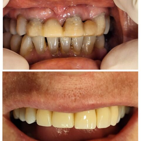
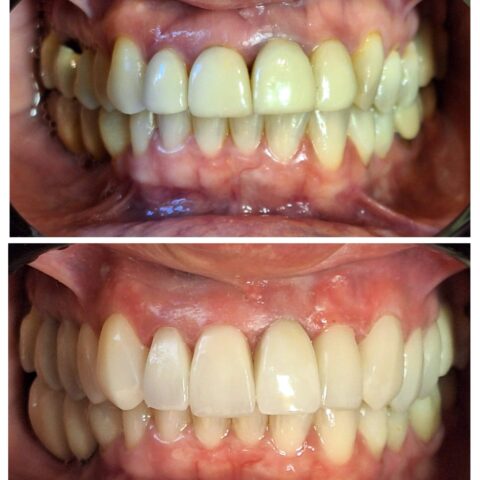
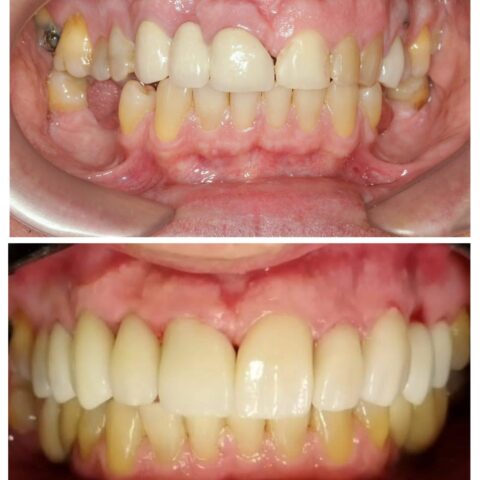
Implante Dentário
IMPLANTE DENTÁRIO
SEM CORTE E SEM DOR
PRECISÃO > SEGURANÇA > RECUPERAÇÃO MAIS RÁPIDA
PARA QUEM É
Recomendado
Lembrando que para ter certeza de que você deve realizar o implante dental, um profissional deve ser consultado.
# Dentistas Ribeirão Preto # Implante Dentário em Ribeirão Preto
QUAIS SÃO
Benefícios
Recuperação Mais Rápida: graças à abordagem precisa e personalizada, a recuperação é notavelmente mais rápida, permitindo que você volte às suas atividades normais mais rapidamente.
Implante Dentário em Ribeirão Preto
REFERÊNCIA NO ASSUNTO

Dr. Edu Gomes
CROSP 79.909
Cirurgião-dentista com mais de 23 anos de experiência em consultórios odontológicos e clínicas.
Formado pela UNESP - Araraquara em 2002. Sempre primando pelo melhor atendimento com tecnologia de ponta e qualidade acima de tudo.
Dentista em Ribeirão Preto e referência em Implantes Dentários.












